Black Friday special for Zoom whitening

Implant-Supported Dentures for Everyday Confidence
Your smile should give you the confidence to live fully. Snap-in implant dentures offer a secure, long-lasting alternative to traditional dentures—allowing you to eat, laugh, and speak naturally again. With implant support, your dentures stay firmly in place, offering comfort, stability, and the freedom to enjoy life without worry.
What Makes Snap-In Dentures Different
Snap-in dentures are custom-made prosthetics that attach securely to dental implants placed in your jawbone. The implants act as strong anchors, and the dentures “snap” into position for a tight, reliable fit. This advanced design eliminates slipping, improves bite strength, and restores a natural, confident smile.
Why Choose Snap-In Dentures
- Eat with Confidence: Regain strong chewing power for your favorite meals.
- No More Slipping: Enjoy the security of a denture that stays firmly in place.
- Natural Comfort: Experience less irritation and smoother movement.
- Healthier Nutrition: Better chewing helps maintain a balanced diet.
- Bone Preservation: Implants stimulate jawbone health and prevent bone loss.
- Ideal for Limited Bone Volume: Suitable even for patients not eligible for full traditional implants.
- Improved Taste: Less palate coverage enhances taste and comfort.
Comparing Snap-In Dentures vs. Traditional Dentures
Traditional dentures can restore appearance but often lack stability and function. Snap-in implant dentures overcome these challenges, offering strength, security, and a natural feel.

Limitations of Traditional Dentures:
- Only 10–20% of natural chewing ability
- Slippage during speaking or eating
- Gum irritation and soreness
- Reduced taste due to palate coverage
- Diet limitations and nutrition concerns
- Gradual bone loss over time
Snap-in dentures eliminate these frustrations, helping you enjoy mealtime and conversation with renewed confidence.
Is This Treatment Right for You?
Most adults are excellent candidates for snap-in implant dentures. During your consultation at South Hills Dental Arts, we will:
- Conduct a 3D digital scan of your jawbone
- Perform a full dental and oral health evaluation
- Review your medical history and goals
- Create a customized plan tailored to your smile
Even if you’ve been told you lack enough bone for traditional implants, our modern implant techniques may still provide an effective solution.
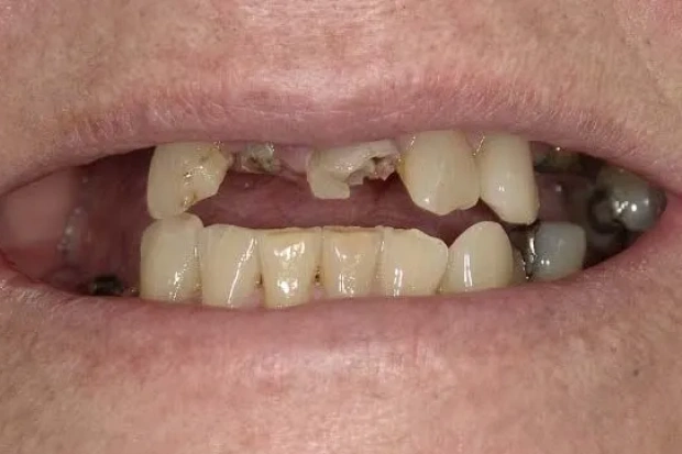
Smile Transformations

Before

After
This patient came to Dr. Johnson with an upper partial and a variety of ill fitting and failing crowns. A set of snap-in dentures on the patient’s upper arch restored their health to its peak form.

Before

After
Broken and missing teeth kept this patient from smiling with confidence. Dr. Johnson was able to renew the natural form and function of their smile with a set of snap-in denutres on their upper arch.

Before

After
Before coming to our office, this patient struggled with failing teeth, recession, and bone loss. With a set of upper and lower snap-in dentures, Dr. Johnson was able to completley restore their smile.Before coming to our office, this patient struggled with failing teeth, recession, and bone loss. With a set of upper and lower snap-in dentures, Dr. Johnson was able to completley restore their smile.
Your Step-by-Step Treatment Journey
Most patients complete their smile restoration in about six months. Here’s what to expect:
Implant Placement Procedure
After extractions (if needed), implants are placed in the jawbone and allowed to heal naturally for several months.
Post-Operative Appointment
We’ll evaluate healing progress and adjust temporary dentures for comfort.
Soft Liners / Re-Fittings
Added during healing to reduce pressure and enhance comfort.
Uncovery Procedure
Once healed, the implants are exposed and fitted with healing abutments.
Final Attachment
Your custom dentures are securely connected to the implants, completing your new smile.
How Many Implants Will I Need?
- Upper Arch: 4 implants minimum
- Lower Arch: 2–4 implants for best retention
Enjoy a Renewed Smile and Lifestyle
With advanced implant dentistry from South Hills Dental Arts, you can rediscover comfort, function, and confidence in every smile. Our caring team ensures your dentures fit securely, look natural, and allow you to enjoy eating, speaking, and laughing without limits.
Call 412-922-9292 today or schedule your consultation online to learn more about Snap-In Implant Dentures in Ingram / Crafton, PA.

